Rems-Murr-Kreis

Immer mehr Kinder haben Kreidezähne: Ursachen und Behandlungsmöglichkeiten

kreidezähne
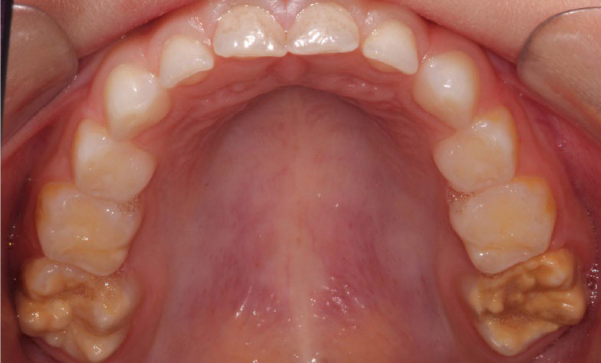
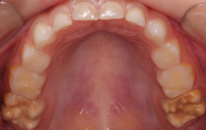
Kreidezähne haben oft gelblich-bräunliche Verfärbungen. © privat

Immer mehr Kinder haben Kreidezähne. Und keiner weiß bislang so recht, woran das liegt. Entsprechend groß ist die Verunsicherung. Auch Dr. Christina Meller, die sich in ihrer Praxis in Waiblingen auf Kinderzahnheilkunde spezialisiert hat, sieht immer mehr kleine Patientinnen und Patienten mit Kreidezähnen.

Während ihrer Studien- und Assistenzzeit hat Meller das nie gesehen. „Die Zunahme der Erkrankung ist signifikant. Wir gehen von einer weltweiten Prävalenz von etwa 13 Prozent aus,